来源:特诺科研

前列腺癌(PCa)是男性高发的泌尿系统恶性肿瘤,进展至去势抵抗性前列腺癌(CRPC)后治疗选择有限,预后极差。代谢重编程(尤其是 Warburg 效应)是肿瘤恶性进展的核心特征,而热休克蛋白 60(HSP60)在前列腺癌中的作用及调控机制尚未明确。近日,华中科技大学同济医学院附属同济医院团队在《International Journal of Biological Sciences》(Int J Biol Sci,IF=10,2026 年发表,开源获取)发表重磅研究:通过多数据库筛选 + 临床样本验证,证实 HSP60 在前列腺癌中特异性高表达,且通过抑制 p53 活性促进糖酵解重编程,驱动肿瘤增殖转移;进一步构建 siRNA 负载的细胞外囊泡(siRNA@EVs)靶向沉默 HSPD1(编码 HSP60),在体内外均能有效抑制前列腺癌进展,且安全性良好。
文章信息速览
原标题:Targeting the HSP60/p53 Axis with Extracellular Vesicle-Delivered siRNA Reprograms Glycolysis in Prostate Cancer
期刊:International Journal of Biological Sciences(Int J Biol Sci,IF=10,生物医学领域顶刊,开源获取)
关键词:前列腺癌(PCa)、HSP60、p53、糖酵解、细胞外囊泡(EVs)、siRNA 递送、靶向治疗、代谢重编程
研究核心亮点
这篇 Int J Biol Sci 顶刊的成功,核心在于 “多维度筛选靶点→机制解析→治疗载体开发→体内外验证” 的闭环体系,4 大步骤完美契合生物医学顶刊对 “创新性 + 可靠性 + 转化价值” 的要求,关键结果均严格对应原文图表与数据:
1. 第一步:多数据库 + 临床样本,锁定 HSP60 为前列腺癌特异性靶点(图 1)
筛选策略:整合 DepMap、TCGA-PRAD、HPA 三大公共数据库,通过 CRISPR 功能筛选、转录组 / 蛋白质组分析,筛选前列腺癌特异性依赖基因;
核心结果:
HSPD1(编码 HSP60)在前列腺癌细胞中是 “生存必需基因”,且在临床肿瘤组织中特异性高表达(图 1I-K);
HSPD1 高表达与 Gleason 评分 > 7、T 分期进展、淋巴结转移显著相关(图 1N-P),高表达患者生化复发风险升高 2.15 倍(HR=2.15,p=0.03,图 1Q);
价值:通过“数据库筛选 + 临床验证” 双重确认,确保靶点的 “特异性 + 临床相关性”,是顶刊认可的靶点筛选标准流程。
图1
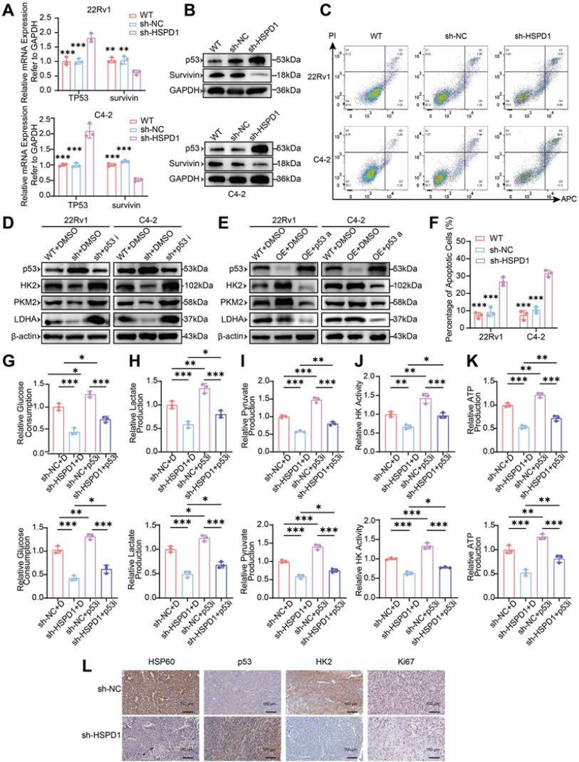
2. 第二步:多组学 + 功能验证,揭示 HSP60 通过抑制 p53 促进糖酵解(图 2-5)
机制探究:
多组学整合:对 HSPD1 敲低的前列腺癌细胞进行代谢组 + 转录组分析,发现糖酵解 / 糖异生通路是最显著扰动的通路(图 3A、F);
功能验证:HSPD1 敲低后,前列腺癌细胞的葡萄糖消耗、乳酸 / 丙酮酸生成、己糖激酶(HK)活性、ATP 产量均显著降低(图 4C-G),糖酵解关键酶(HK2、PKM2、LDHA)表达下调(图 4B);
调控轴解析:HSP60 与 p53 结合并抑制其活性,HSPD1 敲低后 p53 表达升高,进而转录抑制糖酵解酶基因(图 5A-B、D-E);
体内验证:HSPD1 敲低的前列腺癌异种移植瘤生长显著减慢,肿瘤组织中 HSP60、HK2、Ki67 表达降低,p53 表达升高(图 2N-P、图 5L);

图2

图3

图4

图5
价值:从“关联” 到 “机制”,通过多组学 + 功能实验,明确 “HSP60→抑制 p53→激活糖酵解” 的调控链,是顶刊提升研究深度的核心。
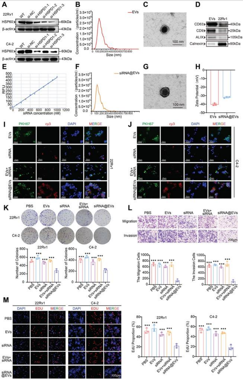
3. 第三步:构建 siRNA@EVs 递送系统,优化靶向递送效率(图 6)
载体开发:
EVs 制备:从前列腺癌细胞中分离 EVs,经透射电镜(TEM)、纳米颗粒追踪分析(NTA)验证,平均粒径 148 nm,表达 CD63、CD9、ALIX 等 EVs 特异性标志物(图 6B-D);
siRNA 负载:通过电穿孔将 HSPD1 靶向 siRNA(si-HSPD1)载入 EVs,封装效率达 42%,且不破坏 EVs 结构(图 6E-H);
细胞摄取:PKH67 标记的 EVs 能被前列腺癌细胞高效摄取,将 siRNA 成功递送至上清液(图 6I-J);

图6
价值:解决 RNAi 疗法的 “递送难题”,利用 EVs 的生物相容性、肿瘤靶向性优势,为临床转化奠定基础 —— 这是顶刊青睐的 “转化导向” 创新点。
4. 第四步:体内外验证,siRNA@EVs 安全有效抑制前列腺癌(图 6-7)
体外疗效(图 6K-M):
siRNA@EVs 处理后,前列腺癌细胞的增殖(EdU + 细胞比例降低 58%-65%)、克隆形成(抑制率 > 50%)、迁移 / 侵袭(抑制率 > 80%)均显著受抑;
糖酵解表型:葡萄糖消耗、乳酸生成等关键指标均显著降低(图 7A-E),且对正常前列腺上皮细胞无明显细胞毒性;
体内疗效(图 7I-N):
前列腺癌异种移植瘤模型中,siRNA@EVs 静脉注射后,肿瘤体积和重量显著降低(图 7J-K、M);
机制验证:肿瘤组织中 HSP60、HK2 表达降低,p53 表达升高,Ki67 + 增殖细胞比例减少(图 7N);

图7
安全性:主要脏器病理切片无明显损伤,血清生化指标正常;
价值:通过“体外细胞→患者来源类器官→动物模型” 的三级验证,确保治疗策略的 “有效性 + 安全性”,是顶刊要求的转化医学研究标准。
总结:靶点 - 机制 - 治疗闭环
华中科技大学同济医学院附属同济医院团队的这项研究,完美示范了生物医学顶刊的“黄金发文公式”:多维度筛选特异性靶点→多组学解析核心机制→开发新型治疗载体→体内外三级验证。整个研究从临床痛点出发,以 “代谢重编程” 这一肿瘤核心特征为切入点,既明确了 HSP60/p53 轴的调控作用,又开发了安全高效的 EV 递送系统,同时满足 “科学深度” 与 “转化价值”,这正是 Int J Biol Sci 等顶刊的核心收录标准。
原文DOI: 10.7150/ijbs.120760
专注期刊投稿、发表十年,任何投稿、写作难题欢迎咨询!

PAPER INFORMATION
快速预审、投刊前指导、专业学术评审,对文章进行评价
校对编辑、深度润色,让稿 件符合学术规范,格式体例等标准
适用于语句和结构尚需完善和调整的中文文章,确保稿件达到要求
数据库包括: 期刊、文书籍、会议、预印章、书、百科全书和摘要等
让作者在期刊选择时避免走弯路,缩短稿件被接收的周期
根据目标期刊格式要求对作者文章进行全面的格式修改和调整
帮助作者将稿件提交至目标期刊投稿系统,降低退稿或拒稿率
按照您提供的稿件内容,指导完成投稿附信(cover letter)
北京总部:北京市海淀区碧桐园 3 号楼 2 层 211 广州办事处:广州市黄埔区科学城国际企业孵化器 E栋306 联系人:客服 / 18163670350
Copyright © 2022-2024 北京特诺科技有限公司 版权所有 备案/许可证编号为: 京 ICP 备 2023007944 号